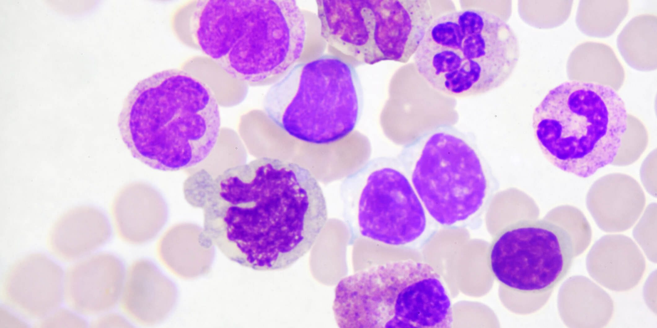
Biele krvinky, zvané aj leukocyty sú bezfarebné bunky, ktorých úlohou je ochrana ľudského tela. Vyskytujú sa v krvi, kostnej dreni, lymfatických orgánoch, na povrchu tkanív a slizníc. Ich zvýšené hodnoty v krvi zvyknú predznamenávať zdravotné ťažkosti. Pri chorobe sa ich počet v krvi výrazne zvyšuje a pomáhajú nám čeliť ochoreniu.
Úloha leukocytov v ľudskom tele je jednoducho nezastupiteľná. Čo však robiť, ak je ich priveľa alebo naopak chýbajú? A čo to znamená, ak sú biele krvinky v moči?
Optimálne množstvo bielych krviniek v ľudskom organizme
Optimálna hladina bielych krviniek v ľudskom organizme sa pohybuje v rozpätí od 4500 do 11000 mikrolitrov (μl). Ak hodnoty bielych krviniek poklesnú pod hodnotu 4500, hovoríme o leukopénii. Nedostatok bielych krviniek signalizuje únava a zvýšená náchylnosť na rôzne choroby, ak je leukocytov priveľa, hovoríme o leukocytóze.
Znížený počet bielych krviniek
Nízky počet bielych krviniek často súvisí s oslabením imunity a s rôznymi ochoreniami kostnej drene. Môže sa vyskytovať počas liečby rakoviny rádioterapiou a chemoterapiou, pri ťažkých infekciách a po užívaní antibiotík a antipsychotík. Nedostatok leukocytov hrozí aj pri podvýžive.
Ako zvýšiť hodnoty bielych krviniek v tele?
Pomôcť zvýšiť hladiny bielych krviniek v tele pomôžu dva cenné prvky – zinok a meď. Zinok podporuje tvorbu leukocytov a meď je dôležitá v rámci dozrievania bielych krviniek. Doplniť si ich možno vhodnou stravou – mäso, orechy, strukoviny, ryby, huby, sušené ovocie a avokádo, alebo ich prijímať prostredníctvom výživových doplnkov.
Vysoký počet bielych krviniek
Biele krvinky vykazujú zvýšené počty v prípade infekcie (angína, zápal pľúc, po operáciách a úrazoch). Štandardne netreba riešiť, ako znížiť biele krvinky, pretože sa po liečbe zvykne ich hodnota stabilizovať. Ak je však hladina bielych krviniek výrazne vyššia, môže to signalizovať vážnejšie zdravotné problémy – najčastejšie leukémiu. Pri rakovine krvi – leukémii dochádza k nekontrolovateľnému premnoženiu bielych buniek, predovšetkým ich nezrelých foriem.
Prítomnosť bielych krviniek v moči
Moč je sterilný a za normálnych okolností by nemal obsahovať krv. Prítomnosť bielych krviniek v ňom teda signalizuje, že sa niečo deje vo vnútri močového traktu či v obličkách. Najčastejšie ide o zápal alebo infekciu. Predovšetkým infekcia močových ciest je veľmi častou príčinou výskytu leukocytov v moči, rovnako tak infekcia obličiek a obličkové kamene, ktoré dráždia močovú trubicu.






