Stukovatenie pečene je problém, ktorý trápi čoraz viac ľudí. Najhoršie na tom je, že mnoho z nich o tom ani netuší. Viditeľné príznaky ochorenia sa totiž začnú prejavovať až v momente, kedy je už choroba v pokročilom štádiu.
Čo je stukovatená pečeň, ako sa prejavuje a dá sa proti tomu účinne bojovať?
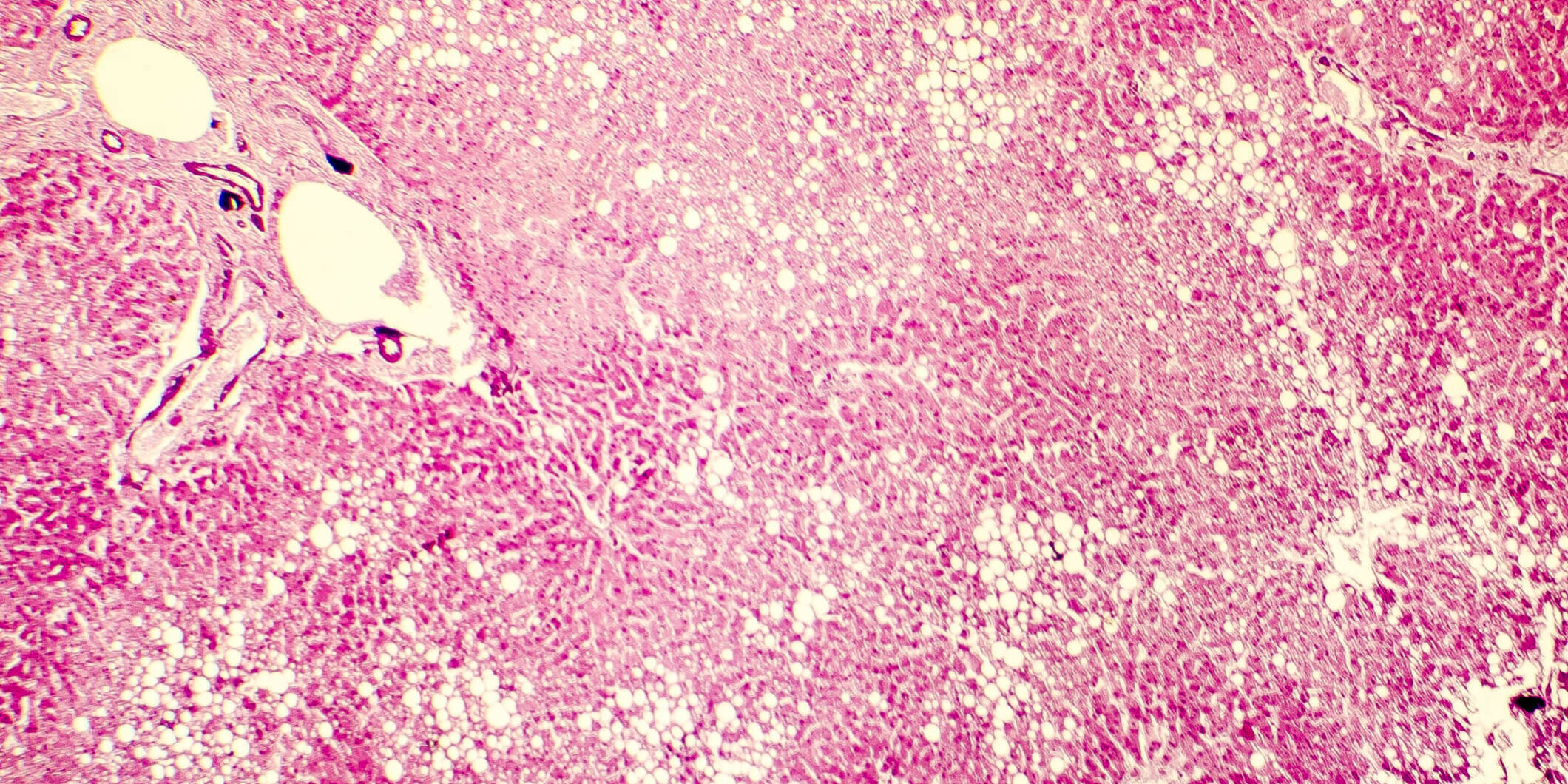
Problém súčasnosti zvaný stukovatená pečeň
Stukovatená pečeň – odborne steatóza vzniká ako dôsledok ukladania nadmerných zásob tuku.Pečeň filtruje všetky látky, ktoré telo prijíma. Jej primárnou funkciou je rozdeľovať ich medzi orgány a vytvárať zásoby. Pokiaľ prijímate veľké množstvo tuku, ktorý nevie efektívne zužitkovať, pečeň ho začne ukladať v iných orgánoch aj priamo v sebe. A to je veľký problém, nakoľko tuk je pre pečeň toxický. Vyvoláva zápal a spôsobuje odumieranie jej buniek – dochádza k poruche základnej funkcie orgánu. Najväčším rizikom stukovatenej pečene je, že môže prerásť do veľmi závažných ochorení ako fibróza alebo cirhóza pečene.
Príčiny steatózy
Steatózu najčastejšie spôsobuje kombinácia nedostatku fyzickej aktivity so zlým stravovaním. Ak prijímate viac tukov, ako viete efektívne spáliť, ukladajú sa v pečeni. Pre pečeň sú nebezpečné aj vírusové ochorenia, vysoký krvný tlak a zvýšený cholesterol, nadmerná konzumácia liekov a alkoholu.
Prejavy stukovatenej pečene
Stukovatená pečeň, známa aj ako tichý a pomalý zabijak, je nebezpečná preto, že o nej dlho neviete. Príznaky ako veľká únava, problémy s trávením či zhoršená kvalita pleti sú citeľné až v pokročilých štádiách choroby.Steatóza heparu sa prejavuje:
- stratou chuti do jedla,
- svrbivou pokožkou,
- bolesťami kĺbov,
- stmavnutím moču a svetlejšou stolicou,
- v závažnejších prípadoch dochádza k opuchu brucha a nôh.
Diagnostika ochorenia steatóza heparu
Ako liečiť stukovatenú pečeň? V prvom rade je nutné navštíviť odborníka, ktorý prehmataním a postláčaním brucha zistí, či je pečeň zväčšená. Dôležité sú krvné testy, v rámci ktorých sa skúmajú látky ALT (alanínaminotransferáza) a AST (aspartátaminotransferáza) – ide o pečeňové enzýmy. Ak sú zvýšené, môže to indikovať zápal pečene. Lekár môže nariadiť aj iné vyšetrenia ako sono pečene, CT, prípadne magnetickú rezonanciu. V závažnejších prípadoch sa vykonáva biopsia pečene.
Čo je dobré na stukovatenú pečeň?
Stukovatená pečeň netrápi výlučne ľudí s nadváhou, vyskytnúť sa môže v podstate u každého – aj u detí. Ohrozuje každého, komu chýba pravidelný pohyb a uprednostňuje nezdravý životný štýl. Majte na pamäti, že príznaky tohto civilizačného ochorenia prichádzajú postupne a roky o nich nemusíte nič vedieť. Najlepším spôsobom, ako mať istotu, že stukovatená pečeň nebude nikdy vaším problémom, je účinná dlhodobá prevencia.
Riziko stukovatenej pečene odvrátite jednoducho – stačí upraviť jedálniček (v pokročilých štádiách zaberie prísna diéta).Musíte sa zbaviť nevhodných návykov – obmedzte pitie alkoholu, fajčenie a začnite aktívne žiť. Lieky na chemickej báze nahraďte dostupnými prírodnými alternatívami – jednoducho žite zdravo a buďte fit.






